Esta iniciativa consta de una serie de postales digitales escritas por pacientes que viven con FPI dirigidas a personas que acaban de ser diagnosticadas. El objetivo es acompañar y empoderar a los afectados con historias empáticas y de esperanza que ayuden a desmitificar ideas erróneas alrededor de ella.
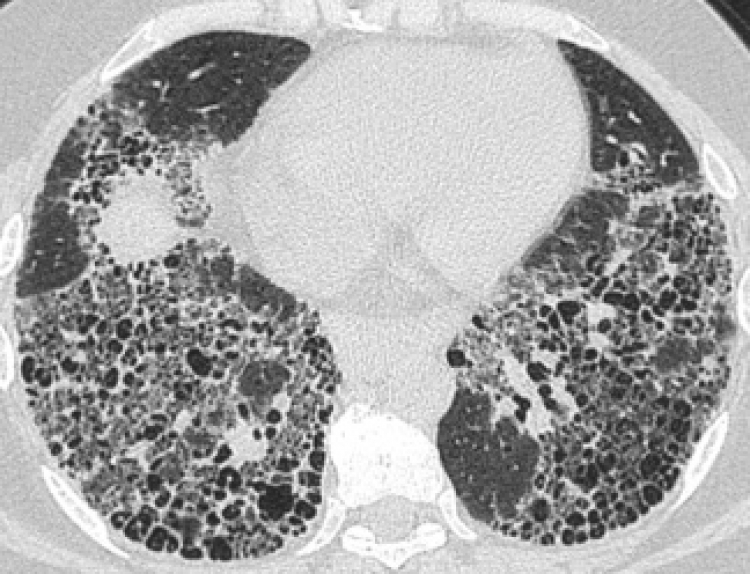
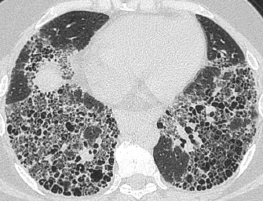
Según el Dr. Omar Barreto Rodríguez, neumólogo especialista en enfermedades pulmonares intersticiales, “la fibrosis pulmonar idiopática es una enfermedad rara que se caracteriza por un proceso anormal y desconocido de cicatrización del tejido del pulmón, lo que provoca una disminución gradual e irreversible de la función pulmonar[2]; es decir, mayor dificultad para respirar y el inadecuado funcionamiento del resto de los órganos a falta de suficiente oxígeno”[3].
El especialista añadió que, aunque dicha enfermedad es compleja, actualmente se encuentra disponible nintedanib, único medicamento antifibrótico aprobado en México para el tratamiento de la FPI. Se trata, dijo, de un medicamento diseñado específicamente por Boehringer Ingelheim para inhibir tres receptores de la tirosina quinasa (FGFR, PDGFR y VEGFR) involucrados en el proceso fibrótico del pulmón, lo que disminuye, hasta en un 50%, la progresión de la enfermedad, haciendo más eficaz la función pulmonar y previniendo la agudización de síntomas (exacerbaciones), los cuales generan mayor gasto hospitalario, discapacidad y muerte[4].
Por su parte, la Dra. Guillermina Muñoz Gallegos, Directora Médica de Boehringer Ingelheim México, Centroamérica y El Caribe (CAmCar) agregó: “En la compañía estamos en la búsqueda constante tanto de tratamientos innovadores como de nuevas indicaciones terapéuticas de estos, como es el caso de este antifibrótico. De hecho, recientemente anunciamos la inscripción del primer paciente en InPedILD™, un estudio internacional de Fase III que evalúa la dosificación y el perfil de seguridad de nintedanib en niños y adolescentes de entre seis y 17 años con Enfermedad Pulmonar Intersticial (EPI) fibrosante clínicamente importante”.[5]
“Para nosotros –agregó-- este estudio representa el compromiso continuo de abordar las necesidades no cubiertas y avanzar en la investigación para adultos y niños que viven con enfermedades fibrosantes, así como lo es también con personas que padecen FP asociada a otro raro padecimiento conocido como Esclerosis Sistémica".
La ejecutiva de Boehringer Ingelheim destacó que, si bien la Fibrosis Pulmonar Idiopática es una enfermedad incurable e irreversible, actualmente los pacientes se pueden beneficiar de nintedanib, el cual ya se encuentra disponible desde el 2018 en el cuadro básico del ISSSTE para sus derechohabientes. Esto, “sin duda representa un gran avance al reducir el estrés que implica la enfermedad para los afectados, sus seres queridos y cuidadores”.
Cabe destacar que, de acuerdo con cifras recientes, en México la FPI afecta a 15 personas por cada 100 mil habitantes, siendo los hombres mayores de 50 años los más vulnerables[6]. Desafortunadamente, al ser una condición poco común, pero que comparte síntomas similares con otros trastornos pulmonares, los pacientes pueden tardar de entre seis y dieciocho meses en obtener un diagnóstico certero[7], de ahí que existe una enorme necesidad de que los profesionales de la salud de primer contacto la conozcan y refieran al afectado con un médico neumólogo. “El fin es atenderlos de inmediato para detener el avance de la enfermedad con tratamientos eficaces y seguros, respaldados con un amplio desarrollo clínico como nintedanib, el cual está disponible en México en hospitales públicas y privados como el ISSSTE, SEMAR y Secretaría de Salud de la Ciudad de México, entre otras instituciones estatales y descentralizadas”, expuso la Dra. Muñoz Gallegos.
Por ello, a través de alianzas en las que participan la comunidad médica, la sociedad civil, las autoridades de gobierno y otros actores clave, resulta indispensable seguir apoyando campañas como “La postal más importante que escribí”, a fin de que la gente con Fibrosis Pulmonar Idiopática pueda tener una mejor calidad de vida y extreme medidas de precaución, sobre todo bajo el contexto de la pandemia por SARS CoV-2, que provoca la enfermedad de COVID-19.
Y es que, en opinión de la Directora Médica de Boehringer Ingelheim México y CAmCar, “quienes padecen éste o cualquier otro problema respiratorio son aún más susceptibles a tener graves complicaciones si se contagian de COVID-19 debido a que sus vías respiratorias están comprometidas. De hecho, las infecciones virales pueden desencadenar exacerbaciones. Así que es posible que el pronóstico sea aún peor para ellos que para la población general”.
Finalmente, los expertos hicieron un llamado a la acción para que, a lo largo de la conmemoración del Mes Mundial de la FPI, se haga visible una enfermedad por la que a menudo las personas se sienten olvidadas y discriminadas, cuando debería tener el mismo nivel de importancia en la atención sanitaria.
Redacción MD

















